Vídeo: paciente que recebeu o primeiro implante da Neuralink mostra como chip cerebral funciona
Empresa de Elon Musk aplicou chip em Nolan, homem tetraplégico de 29 anos, no fim de janeiro; implante deve ajudar pessoas com doenças graves

O vídeo de um paciente que recebeu o primeiro implante de chip cerebral da empresa Neuralink, empresa do bilionário Elon Musk, viralizou nas redes sociais. Em uma transmissão no X (antigo Twitter), ele demonstrou como usa o equipamento para controlar seu computador, apenas com o cérebro, nessa quarta-feira (20).
No vídeo, Noland Arbaugh, um homem de 29 anos, aparece contando que ficou tetraplégico em um acidente de carro a oito anos atrás.
"Não tenho sensação ou movimento abaixo da área da lesão, abaixo dos ombros", afirmou. Nolan contou, ainda, que uma das coisas que não conseguia fazer com frequência desde o acidente era jogar xadrez. "Agora, tudo está sendo feito com o meu cérebro", disse ele.
Durante a transmissão, Bliss Chapman, chefe de software da Neuralink, também aparece e conta um pouco sobre chip.
Ele também destacou que o implante não é perfeito e que ainda há alguns problemas. "Não quero que as pessoas pensem que é o fim da jornada, ainda há muito trabalho a ser feito. Mas já mudou a minha vida".
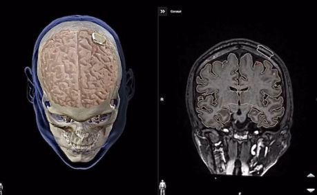
1° implante da Neuralink
Noland Arbaugh, de 29 anos, foi a primeira pessoa a receber o chip cerebral da Neuralink. Até então, a empresa não havia revelado seu nome e o experimento aconteceu oito meses após a autorização da Agência de Alimentos e Medicamentos dos Estados Unidos (FDA, na sigla em inglês).

Vale ressaltar, que a empresa chegou a abrir inscrições para voluntários, sendo exclusivo para pessoas com paralisia decorrente de lesão da medula espinhal cervical ou esclerose lateral amiotrófica.
Participe dos canais da Itatiaia:
Formada em jornalismo pelo Centro Universitário de Belo Horizonte (UniBH), já trabalhou na Record TV e na Rede Minas. Atualmente é repórter multimídia e apresenta o Tá Sabendo no Instagram da Itatiaia.







